
腦靜脈畸形
腦靜脈畸形百科
腦靜脈畸形又稱腦靜脈血管瘤,腦靜脈瘤由於它外形異常,但仍為相應的組織提供功能性的靜脈引流,所以又稱為發育性靜脈異常.靜脈畸形可分為淺表型和深部型.淺表型指深部髓靜脈區域通過淺表髓靜脈引流入皮質靜脈,深部型指皮質下區域引流入深部靜脈系統.

腦靜脈畸形
腦靜脈畸形病因
(一)發病原因多數認為腦靜脈畸形為先天疾病,源於正常胚胎發育障礙,妊娠45天,腦的端腦中有許多稱為“靜脈水母頭”的結構,它們由擴張的中央靜脈和許多小的深髓靜脈組成,妊娠90天,這些靜脈結構發育為淺和深靜脈系統,如靜脈的正常發育受阻,則早期的靜脈引流形式保留,也有認為發育中的皮質靜脈系統部分阻塞,引起代償性擴張的髓靜脈,腦靜脈畸形常伴有海綿狀血管瘤或其他血管畸形,提示局部血流的增加等血流動力學改變可能會誘發靜脈畸形,不管是先天或後天原因,多數人認為腦靜脈畸形是腦靜脈系統一種正常代償變異,而非病理學改變.(二)發病機制腦靜脈畸形主要位於大腦半球或小腦半球,約70%的病灶位於幕上,以額葉最常見,占40%,小腦半球病灶占27%,頂葉或頂枕葉病灶占15%,基底節和丘腦占11%,病變主要位於皮質下的白質,常可合並有AVM,海綿狀血管瘤或面部血管瘤.腦靜脈畸形是由許多異常擴張的髓樣靜脈匯集成一中央引流靜脈幹兩部分組成,外形呈蜘蛛樣,髓樣靜脈多起自腦室周圍區域,中央引流靜脈幹向大腦表面淺靜脈系統或室管膜下深靜脈系統引流;幕下病灶多直接向硬膜竇引流,中央引流靜脈幹較正常的靜脈粗,在顯微鏡下可見畸形血管為靜脈,管壁少有平滑和彈力組織,管壁也可發生透明樣變而增厚,血管間散佈有正常腦組織,病灶內沒有畸形動脈,很少有血栓,出血或鈣化,血管間有正常的腦組織,這些特點明顯不同於其他的腦血管畸形,如AVM,海綿狀血管瘤和毛細血管擴張癥.目前多數學者認為腦靜脈畸形是先天性的正常引流靜脈發生異常變化所致,支持此觀點的證據有:①此病在嬰幼兒有發現.②解剖學上瘤的部位無其他正常引流靜脈.③當手術中病灶被切除後,其相應引流區腦組織即刻發生淤血腫脹.

腦靜脈畸形
腦靜脈畸形症状
大多數病人臨床上很少有癥狀或出血表現,經常為偶然發現腦內病灶,但後顱窩的腦靜脈畸形常引起臨床表現,癥狀的發生依其部位而定,幕上病灶多有慢性頭痛,癲癇,運動障礙或感覺障礙,幕下病灶多表現為步態不穩或其他後顱窩占位癥狀,小腦病灶更容易出血,腦靜脈畸形發生的出血主要為腦內和腦室內出血,主要臨床表現有:1.癲癇:是最常見的臨床表現,主要為癲癇大發作.2.局限性神經功能障礙:表現為單側肢體輕癱,可伴有感覺障礙.3.慢性頭痛.4.顱內出血:一般認為腦靜脈畸形出血率在15%~20%,幕下病灶比幕上病灶更易於出血,病人突然劇烈頭痛,昏迷或偏癱.

腦靜脈畸形
腦靜脈畸形检查
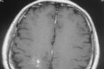
1.腦血管造影:病灶隻在靜脈期顯影,可見數條擴張的髓靜脈扇形匯集成一條擴張的中央靜脈幹,從中央靜脈幹再向淺靜脈系統,深靜脈系統或硬膜竇引流,無異常動靜脈短路征象,動脈期和腦血流循環時間正常.2.CT掃描:平掃多正常,在增強掃描上可見腦實質內一條粗線般的增強影流向皮質和腦深部,其周圍無水腫和團塊占位,有時也可表現為圓點狀病灶,這種粗線狀或圓點狀影是中央靜脈幹的影像.3.MRI掃描:其表現與CT所見相似,在T1加權像上病灶為低信號,在T2加權像上多為高信號,少數為低信號,註射對比劑後病灶呈現典型的放射樣星形或蜘蛛樣.
腦靜脈畸形预防
1、宜選用清淡、高蛋白、高熱量、易消化、富含粗纖維的低脂飲食.2、多進食粗纖維食物,保持大便通暢.3、戒煙酒,禁食辛辣、生冷等刺激性食物和興奮性飲料.4、術前禁食8~10小時,禁飲6~8小時.5、麻醉清醒後6小時,無吞咽障礙方可進少量流質飲食,以後逐漸改為軟食.6、血壓高的病人,堅持在醫生指導下服藥.不可隨意更改藥量或停服藥物,以免血壓升高、誘發出血.腦靜脈畸形治疗
(一)治療對有癲癇的腦靜脈畸形者,給予抗癲癇治療效果良好,其他可以給予一般的對癥治療.許多學者主張對後顱窩出血的腦靜脈畸形給予積極的手術處理.對有出血者,可做開顱血腫清除或腦室內血腫清除引流術,術後病人多能得到較好的恢復.對腦靜脈畸形的處理要慎重,由於術後再出血的幾率較低,且切除病灶後即刻引起腦組織的靜脈性梗死,導致腦組織腫脹、淤血,甚至腦壞死,故一般隻清除血腫,腦靜脈畸形不予夾閉或切除.腦靜脈畸形對γ-刀放療的反應不佳,經治療後病灶的消失率很低且可引起放射性腦損害.(二)預後大多數腦靜脈畸形病人無臨床癥狀,其自然預後良好.
腦靜脈畸形饮食
腦靜脈畸形的食療方:多吃素類食品,少吃肉類,可選擇豆類的食品或者粗纖維的食品,原蔥和黑巧克力對血管有益.忌煙酒.多食清淡的,少吃多鹽或油膩的.
腦靜脈畸形并发症
最常見伴發海綿狀血管瘤,文獻報道海綿狀血管瘤中20%~30%伴有靜脈畸形,組織學上區分二者的標準是病變血管間是否存在正常腦組織以及血管管腔的大小,腦靜脈畸形也可伴發其他血管性或非血管性病變,如腫瘤,脫髓鞘疾病,動脈瘤,AVM,硬膜動靜脈瘺,煙霧病及頭面眼的血管病變等,靜脈畸形常引流遠離這些病灶的正常腦組織的回流血液,少數情況下也引流這些病灶本身.
2/2 首页 上一页 1 2