
外傷性腦膜炎
外傷性腦膜炎百科
外傷性腦膜炎多見於開放性顱腦損傷,火器傷及顱底骨折患者,常與傷口處理過晚、清創不徹底有關.多為彌漫性化膿性腦膜炎,為細菌侵入蛛網膜下腔所致.致病菌常為葡萄球菌、鏈球菌等.

外傷性腦膜炎
外傷性腦膜炎病因
(一)發病原因
由顱腦損傷所引起的腦膜炎多見於顱底骨折伴腦脊液漏的病人,或因顱腦穿透性開放傷而引起,不過後者如果早期處理得當,伴發腦膜炎的機會比想象的要少得多,化膿細菌進入蛛網膜下腔的途徑除經由開放的創口之外,亦可從血液,呼吸道,鼻旁竇,中耳及乳突區甚至蝶鞍進入.
(二)發病機制
病原菌一般常為葡萄球菌,鏈球菌,亦可見革蘭氏陰性桿菌或厭氧菌,但經額竇,篩竇導入顱內的化膿性腦膜炎則以肺炎雙球菌為多,顱腦穿透傷晚期的腦膜炎,常為腦深部感染侵入腦室系統或因膿腫破裂而致,感染一旦發生,由於細菌的毒素和蛛網膜下腔的炎性反應,將導致腦水腫,顱內壓增高及腦血流的障礙.

外傷性腦膜炎
外傷性腦膜炎症状
傷後初期,常有創傷反應所致中等度發熱,如3~4天體溫下降後,再度出現高熱,或體溫不降反而升高,伴有頭痛,惡心,嘔吐,全身畏寒,脈速和意識障礙,甚至出現譫妄及抽搐,檢查有腦膜刺激癥,表現為頸項強硬,克氏征及佈氏征陽性,但也有少數腦膜炎病人發病隱襲,如腦脊液漏所致繼發性顱內感染,可在罹病之後1~2天尚無明顯不適,顱腦穿透傷晚期的腦膜炎常出現腦水腫,顱內壓增高及腦血流的障礙.

外傷性腦膜炎
外傷性腦膜炎检查
1.血常規
可顯示外周血白細胞明顯增高.
2.腰椎穿刺
腦脊液壓力正常或稍高,外觀混濁,白細胞數顯著增多,多為多核細胞,糖定量降低,蛋白含量增高,細菌培養可為陽性.
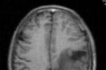
一般CT掃描多無異常發現,嚴重時可見腦基底部腦池,大腦縱裂池有高密度影及脈絡叢密度增高,並發腦炎時,腦實質內出現局限性或彌漫性低密度區,腦室呈對稱性縮小,增強掃描時,軟腦膜和腦皮質呈細帶化或有腦回狀強化表現,當腦膜炎伴發腦膿腫,腦積水,硬腦膜下積膿,腦室炎時,則CT更有助於診斷.
外傷性腦膜炎预防
及時手術清創,有效地控制頭皮及顱骨感染,對於腦脊液漏的病人應及時進行治療.
外傷性腦膜炎治疗
(一)治療
1.一般治療
安靜臥床,保持呼吸道通暢,吸痰、給氧、止驚、降溫.
2.抗生素治療
在及時查明病原菌的基礎上盡早投給能透過血腦屏障的強效抗生素,劑量必須夠大,療程必須夠長.給藥途徑盡量采用分次靜脈點滴,以保持均勻有效的血液藥物濃度.有時為瞭提高抗生素在腦脊液中的濃度,可同時鞘內給藥.治療過程應根據細菌培養及藥敏結果及時調整抗生素種類.
3.合理地應用腎上腺皮質激素及脫水藥.
4.腰椎穿刺
在全身用藥的同時,尚需行腰椎穿刺,每天或隔天1次,既可引流炎性腦脊液,又便於經鞘內給藥,一般常用慶大黴素2萬~4萬U加生理鹽水10~15ml稀釋後,鞘內緩註,每天或隔天1次,但應註意濃度不可過高,以免引起刺激和粘連.
5.去除病因
根據不同的致病原因進行相應的手術治療.如系顱底骨折腦脊液漏所致,可於感染控制後1~2月行腦脊液漏修補手術;如系顱內異物所致,可於抗炎治療後行異物摘除;如系開放性傷道感染,可行傷道病灶清除等.
(二)預後
外傷性腦膜炎若未及時合理的治療往往造成如腦膿腫、腦積水、腦腫脹、硬膜下積膿及腦血管性損害等嚴重的並發癥和後遺癥,病死率高達18.6%.
外傷性腦膜炎饮食
多攝入一些高纖維素以及新鮮的蔬菜和水果,營養均衡,包括蛋白質、糖、脂肪、維生素、微量元素和膳食纖維等必需的營養素,葷素搭配,食物品種多元化,充分發揮食物間營養物質的互補作用.
外傷性腦膜炎并发症
外傷性腦膜炎若未及時合理的治療往往造成嚴重的並發癥和後遺癥,如腦膿腫,腦積水,腦腫脹,硬膜下積膿及腦血管性損害等.
1/2 1 2 下一页 尾页


















